DERMCUP
ECHOGRAPHE HAUTE RÉSOLUTION POUR LE DERME
Grâce à ses fréquences de 25 MHz et 50 MHz, le DERMCUP offre une résolution élevée.
Axiale : 30 µm
Latérale : 120 µm
En dermatologie, il est nécessaire de visualiser des lésions infra-centimètriques. Ceci ne peut être fait avec les échographes traditionnels équipés de sondes de 7 à 13 MHz.
Le DERMCUP est bien adapté pour la visualisation des lésions de la taille du dixième de millimètre
Points forts
Le derme en images
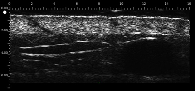
Le DERMCUP permet d’acquérir, de façon non invasive, des coupes verticales de la peau in vivo.
Le derme est échogène. Les échos proviennent du réseau de fibres collagènes et de fibres élastiques. Par rapport au derme, les lésions (tumeurs, kystes, angiomes…) apparaissent comme des zones hypoéchogènes.
Sonde ergonomique et maniable
La sonde offre une longueur d’exploration de 16 mm.
Elle est très maniable en raison de sa compacité.
Sonde 2D ou 3D.
Logiciel de post-traitement des images
Atys, en collaboration avec Creatis (laboratoire de recherche en imagerie médicale: www.creatis.insa-lyon.fr) par l'intermédiaire du Labcom AtysCrea, a développé un logiciel puissant de post-traitement des images enregistrées par le DERMCUP pour la segmentation des structures (tumeurs, ...) présentes dans le derme.
Une version de la visionneuse 3D est disponible
(cliquer ici pour contacter Atys).
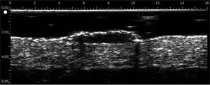
Tumeur
Acné
Vieillissement de la peau: Détermination de la SLEB
Bibliothèque d'images
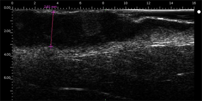
Mélanomes
Echographie hypoéchogène, avec échos peu denses. L’écho d’entrée est peu marqué voire absent (absence de kératose, ulcération).
Mélanome ulcéré sur l’avant bras (épaisseur mesurée à 3.68 mm à l’échographie, épaisseur histologique).
Lésion infiltrant le derme.
Mélanome sur l'oreille
Carcinomes basocellulaires
Carcinome basocellulaire sur le front (au dessus de l’artère temporale)
Carcinome basocellulaire sur le visage au-dessus de la mastoïde
Carcinome superficiel
Carcinome pigmenté
Naevus dermique
Lésion hypoéchogène avec de nombreux échos, frontière avec le derme adjacent mal définie.
Histiocytofibrome
Lésion hypoéchogène, mal limitée avec de nombreux échos
![]() | ![]() |
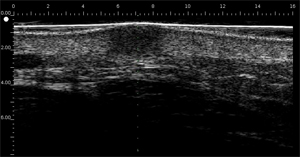
Kératose séborrhéique
Lésion superficielle avec souvent un écho d’entrée proéminant et une zone d’ombre sous jacente.
Kyste épidermique
Lésion hypoéchogène de forme ronde, bien définie avec des échos centraux très denses et parallèles à la surface.
Bulle sous épidermique
Lésion anéchogène avec une surface hyperéchogène démontrant sa situation sous-épidermique.

